
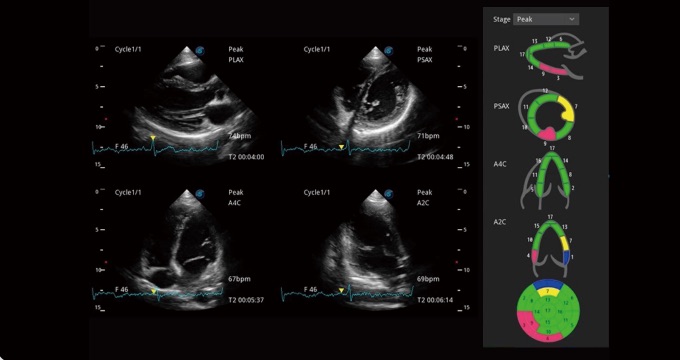
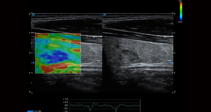
Advanced Transducer Technologies
Single crystal transducers greatly improve signal ratio, acquire stunning images and provide superior sensitivity and resolution for both the near and far fields, by increasing the uniformity of crystal alignment and raising energy transmission efficiency. Single crystal C1-5 for abdominal and OB patients and S1-5 for cardiology and transcranial applications. Composite crystal linear transducers, by reforming the conventional piezoelectric materials, achieve a better acoustic spectrum and lower acoustic impedance to serve well in vascular, breast, thyroid, MSK, etc. The combo of 12L-A, 12L-B, 9L-A covers an ultra-wide frequency bandwidth, leaving nearly no blind spot for all sorts of scanning.




















